google
4.6
google
Montpelier Dental Care
  • 38 Montpelier Road, Brighton, BN1 3BA
google rating thumb1
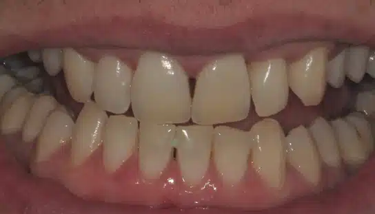
Before - Montpelier Dental Care

Before

After - Montpelier Dental Care

After

To improve this patients smile, we replaced two old crowns, contoured the gums to enhance the shape of the teeth, and used composite bonding to improve the shape of existing teeth.

For more information regarding this treatment
Contact Us Or call 01273 733 901
Back to Smile Gallery

Get in touch

noimage-testi

Reception Hilton Brighton

star1 star2 star3 star4 star5

"I rarely write reviews. Dr. Rishi is the nicest, most empathetic and at the ... quote

View Testimonials
noimage-testi

J Singh

star1 star2 star3 star4 star5

"I have been to a few practices in Brighton and I can honestly say that they are... quote

View Testimonials
noimage-testi

Knighty

star1 star2 star3 star4 star5

"Have been a patient at the wonderful practice for many years, professional and ... quote

View Testimonials
noimage-testi

Libby Annels

star1 star2 star3 star4 star5

"Wouldn’t go anywhere else again, Montpelier dental is very hygienic & also ha... quote

View Testimonials
noimage-testi

Shae Barrett

star1 star2 star3 star4 star5

"Would highly recommend this place, amazing staff and really organised, they bui... quote

View Testimonials
noimage-testi

Simon Detriche

star1 star2 star3 star4 star5

"I recently enquired about some smile treatment with Dr Rishi online. He spent a... quote

View Testimonials
noimage-testi

Ben Lambert

star1 star2 star3 star4 star5

"I’ve been to several dentists who said I wasn’t able to have upper Canine t... quote

View Testimonials
noimage-testi

Rosalind Pryer-Vaz

star1 star2 star3 star4 star5

"Brilliant clean and considerate environment. Friendly staff." quote

View Testimonials
noimage-testi

Marlene Nutley

star1 star2 star3 star4 star5

"I have seen several of the dentists at this practice over the last 15 years and... quote

View Testimonials
noimage-testi

Hesan Yousif

star1 star2 star3 star4 star5

"Montpelier staff and my dentist, Dr. Sonia Gonzalez,(along with Caroline) are ... quote

View Testimonials
cosmetic dentistry thumb1

Precision powered by technology

Digital Dentistry

Redefining care through Innovation

Read More
View On Instagram
Montpelier Dental Care
  • 38 Montpelier Road, Brighton, BN1 3BA
google rating thumb1
Google Rating